Profesjonaliści od uśmiechu
Jesteśmy pasjonatami nowoczesnej stomatologii, zajmujemy się leczeniem kompleksowym zaburzeń estetyki uśmiechu.
Jeśli masz problem z zębami to dobrze trafiłeś – szybko zdiagnozujemy Twój problem i podamy Ci możliwe rozwiązania.
Zapraszam na konsultację i do rozpoczęcia przygody naprawy Twojego uśmiechu.
lek. dent. Zbigniew Adamczyk
O nas
PRO smile to miejsce, w którym bez skrępowania zespół profesjonalistów zadba o Twój uśmiech.
Stawiamy przede wszystkim na dobre relacje z pacjentami, dzięki temu proces leczenia przebiega sprawnie i przyjemnie dla obu stron. Kameralny gabinet zapewnia intymność i pełne skupienie na Twoich problemach – idea „slow dentistry” promuje jakość a nie ilość.
Wykorzystujemy tylko sprawdzone, nowoczesne materiały i narzędzia renomowanych światowych producentów, m.in. implanty MIS oraz ICX, mikroskop zabiegowy Semorr, fizjodyspenser Implant Center2 firmy Acteon, znieczulenie komputerowe The Wand, skaner wewnątrzustny Runyes, radiologia Sirona, Laser Lasotronix, kombajn higienizacyjny Woodpecker PTA, mikrosilnik endodontyczny VDW Gold, kompozyty Dentsply, 3M, GC.
Wykonujemy wyłącznie bezmetalowe, biozgodne uzupełnienia pełnoceramiczne cerkonowe.
W naszym gabinecie o uśmiechy Pacjentów dbają:
Zbigniew Adamczyk – lekarz dentysta, założyciel PROsmile, od lat skutecznie pomaga pacjentom odzyskać zdrowy i pewny uśmiech. Stawia na leczenie przyczynowe i długoterminowe efekty, koncentrując się na ratowaniu naturalnych zębów zawsze gdy to możliwe. W razie ich braku stosuje nowoczesne rozwiązania implantologiczne, łącząc funkcjonalność z estetyką.
Roksana Czyż – lekarz dentysta, skoncentrowana na jakości leczenia, estetyce i dobrej relacji z pacjentem. Pracuje w gabinecie PROsmile pod opieką doktora Adamczyka, gdzie zdobywa doświadczenie kliniczne. Stawia na spokojną atmosferę i jasną komunikację. Prowadzi profil na instagramie @drogadentystki
Dagmara Kukla – lekarz dentysta, zajmuje się wyłącznie ortodoncją – prostuje to co jest krzywe, leczy aparatami stałymi dorosłych i dzieci aparatami ruchomymi. Dyżuruje w soboty.
Daria Balczyńska – higienistka stomatologiczna – dba o sprawną i czystą pracę w gabinecie, przeprowadza profesjonalne higienizacje oraz wybielania zębów. Charakteryzuje prace protetyczne naszych pacjentów nadając im indywidualności.
Martyna Grunwald – higienistka stomatologiczna, z wielkim zaangażowaniem dba o czystość zębów naszych pacjentów, laser to jej trzecia ręka. Obecnie opiekuje się niemowlakiem.
Milena Skotarczak – higienistka stomatologiczna – przeprowadza profesjonalne higienizacje, uczy i motywuje pacjentów do dbania o zdrowie jamy ustnej.
Adrianna Świniarska – higienistka i technik dentystyczny, przeprowadza terapię ortodontyczną przy pomocy aparatów nakładkowych typu aligner. Prowadzi profil na instagramie @usmiechnanowo
Katarzyna Wicenciak – asystentka stomatologiczna – z pełnym zaangażowaniem i pozytywną energią aktywnie wspiera proces leczenia. Troszczy się o komfort i dobre samopoczucie pacjentów. Biegle posługuje się językiem rosyjskim.
Magda Musialska – studentka stomatologii – niezastąpiona pomoc przy zabiegach, projektantka szablonów implantologicznych.
Damian Krawczyk – specjalista druku 3D, manager gabinetu i cyfrowy smile designer. Niezastąpiony człowiek orkiestra.
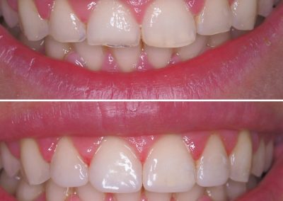
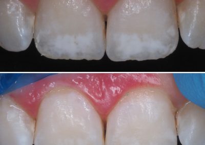
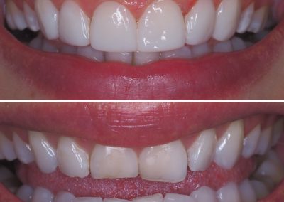
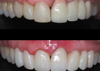
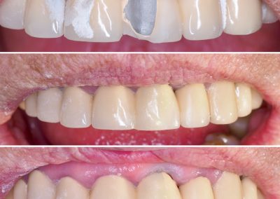
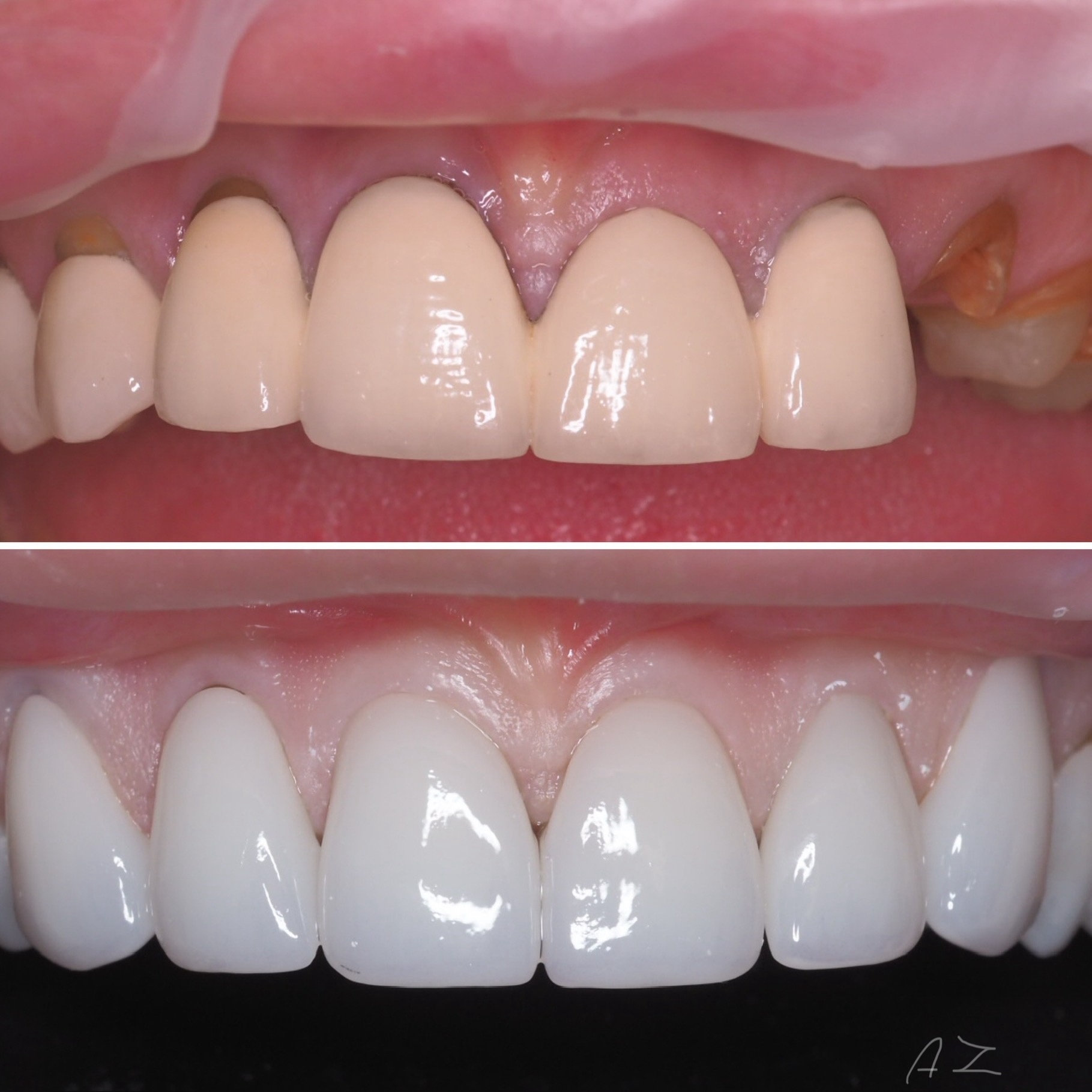
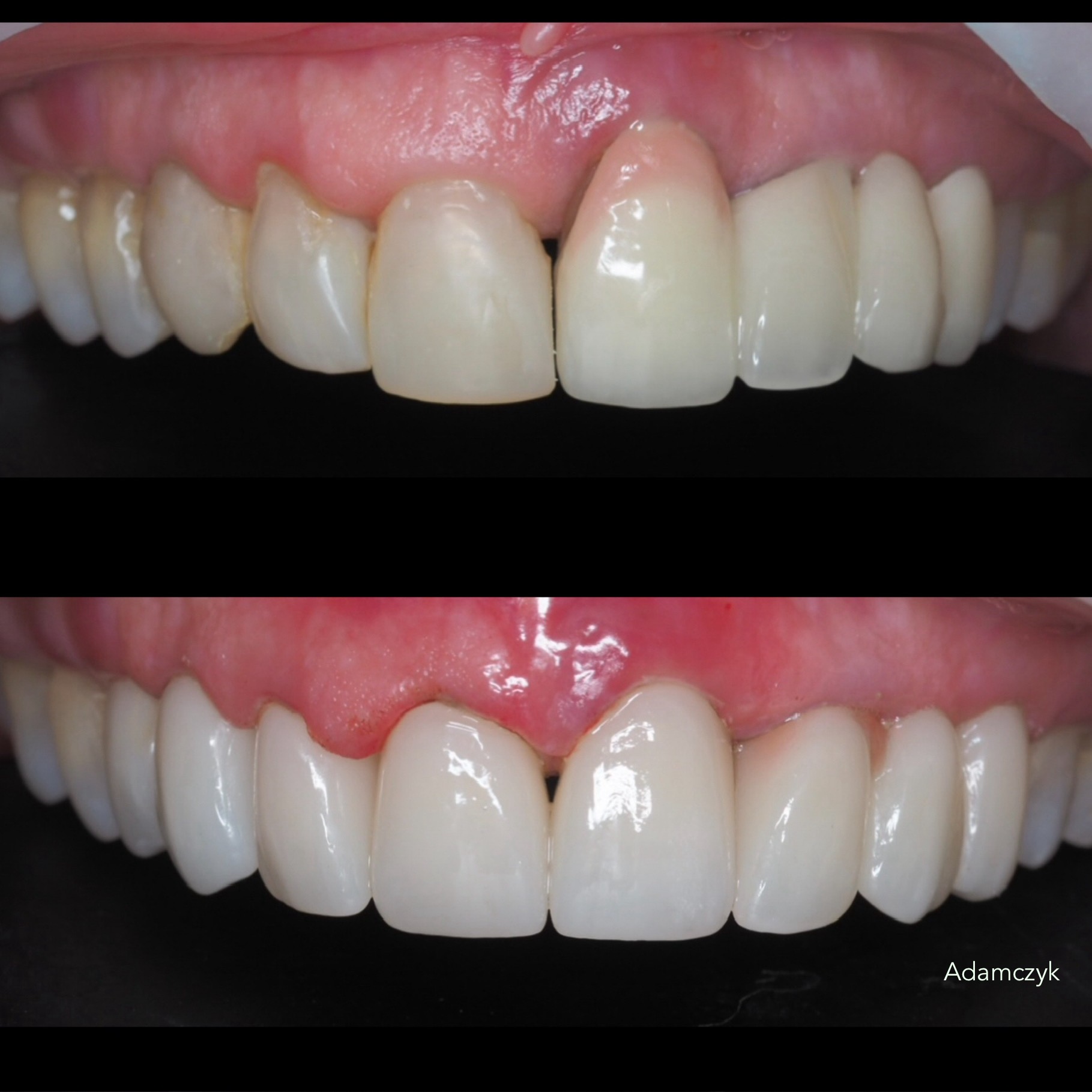
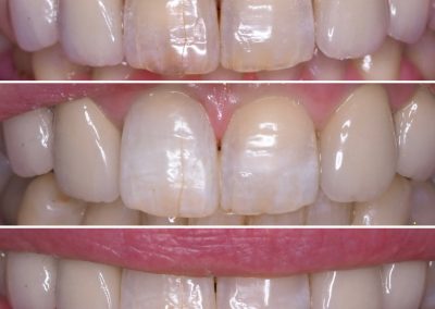
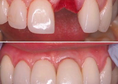
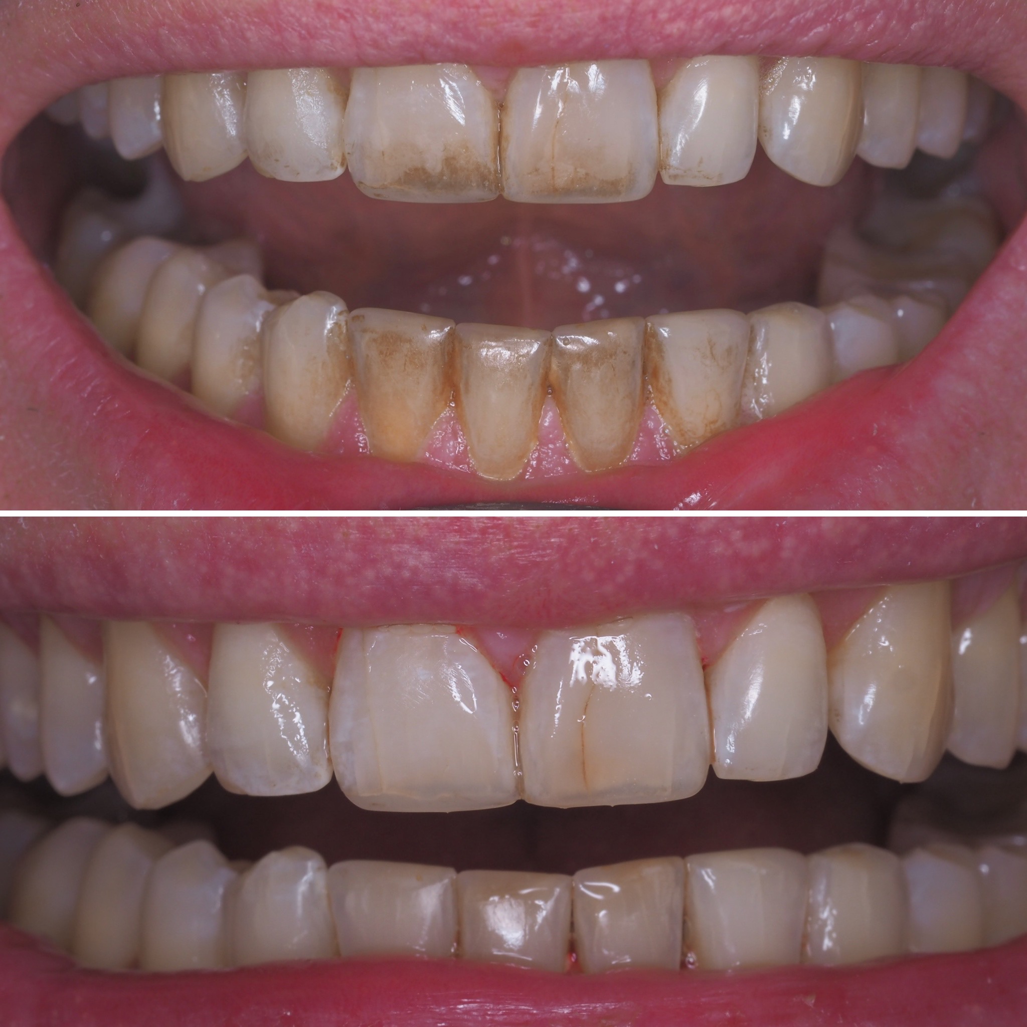
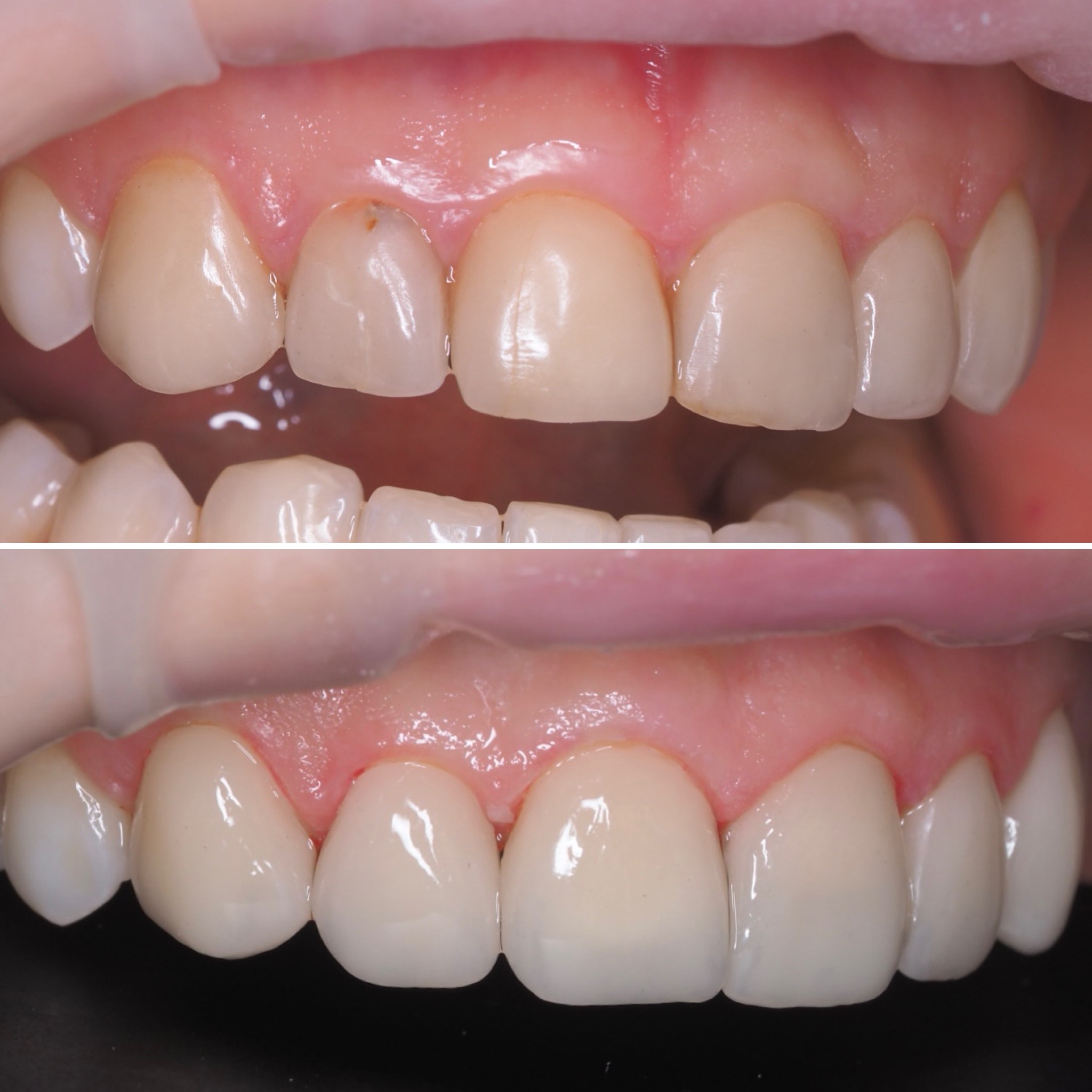
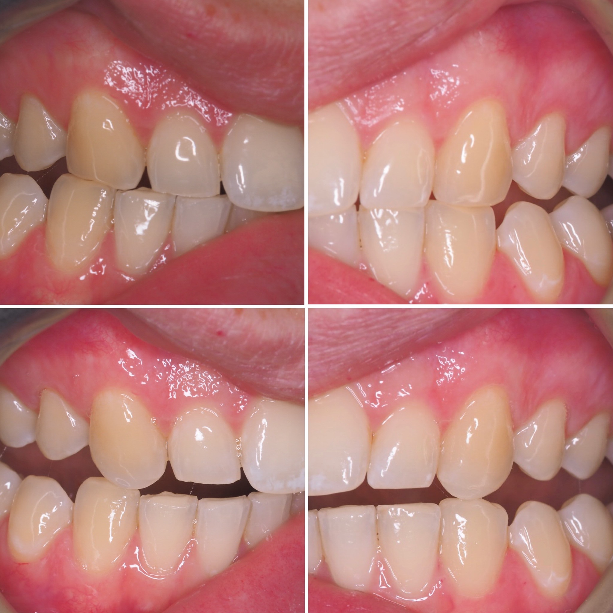
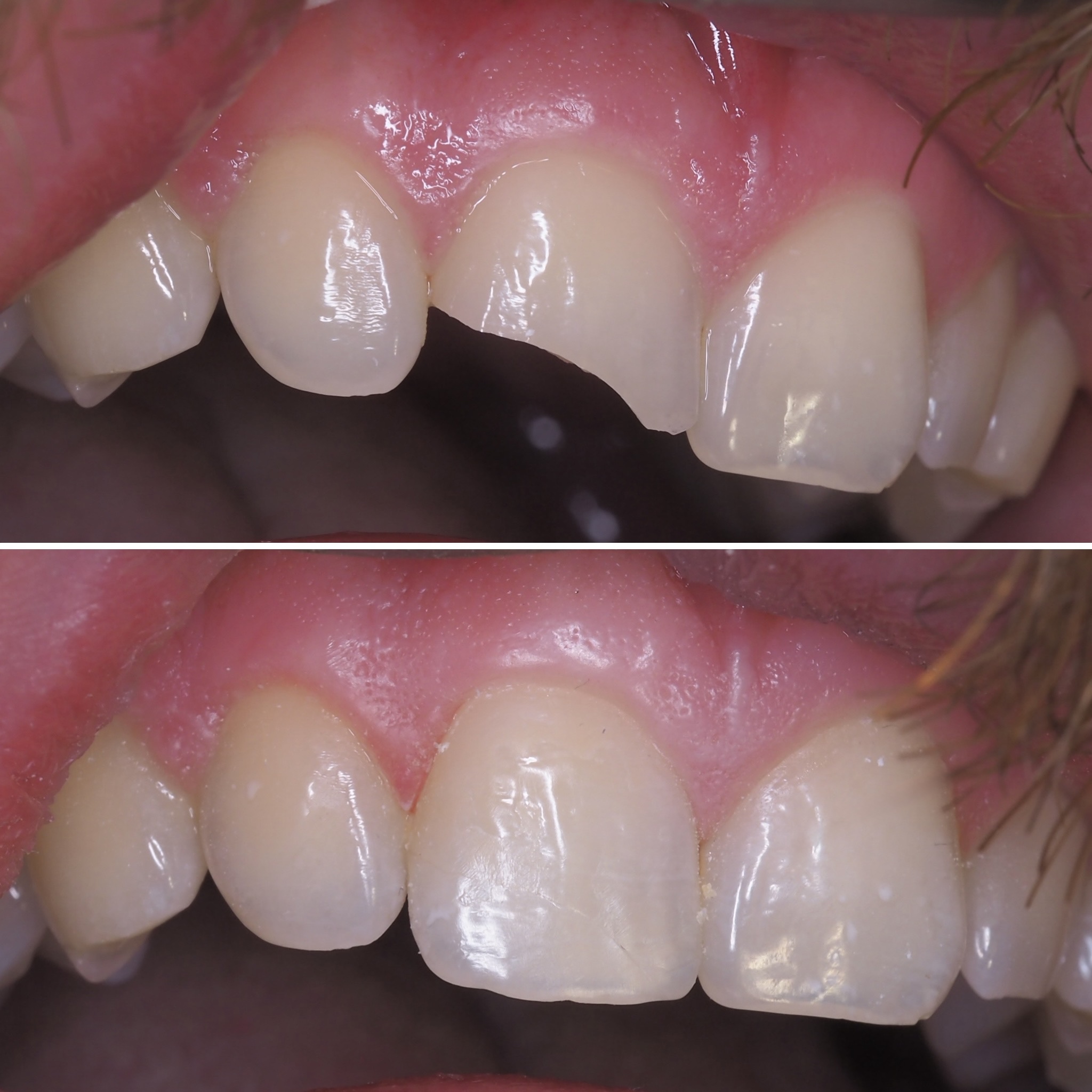
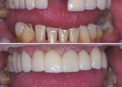
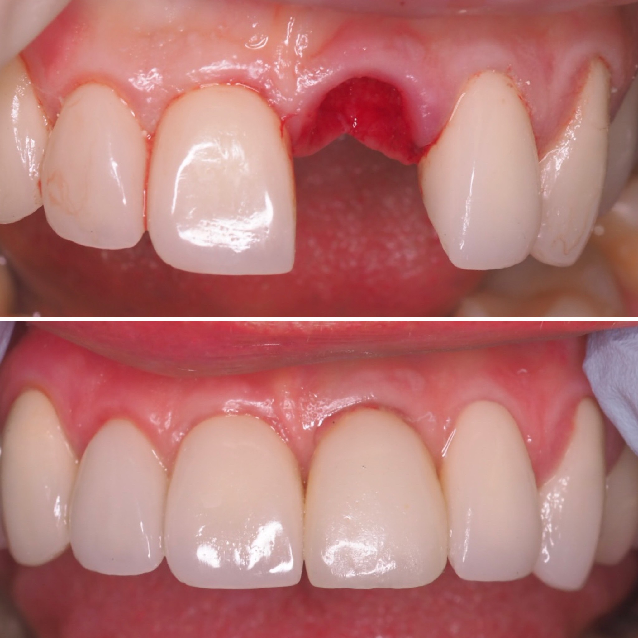
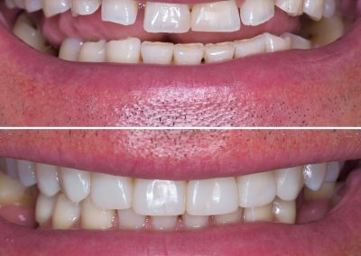
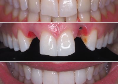
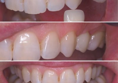
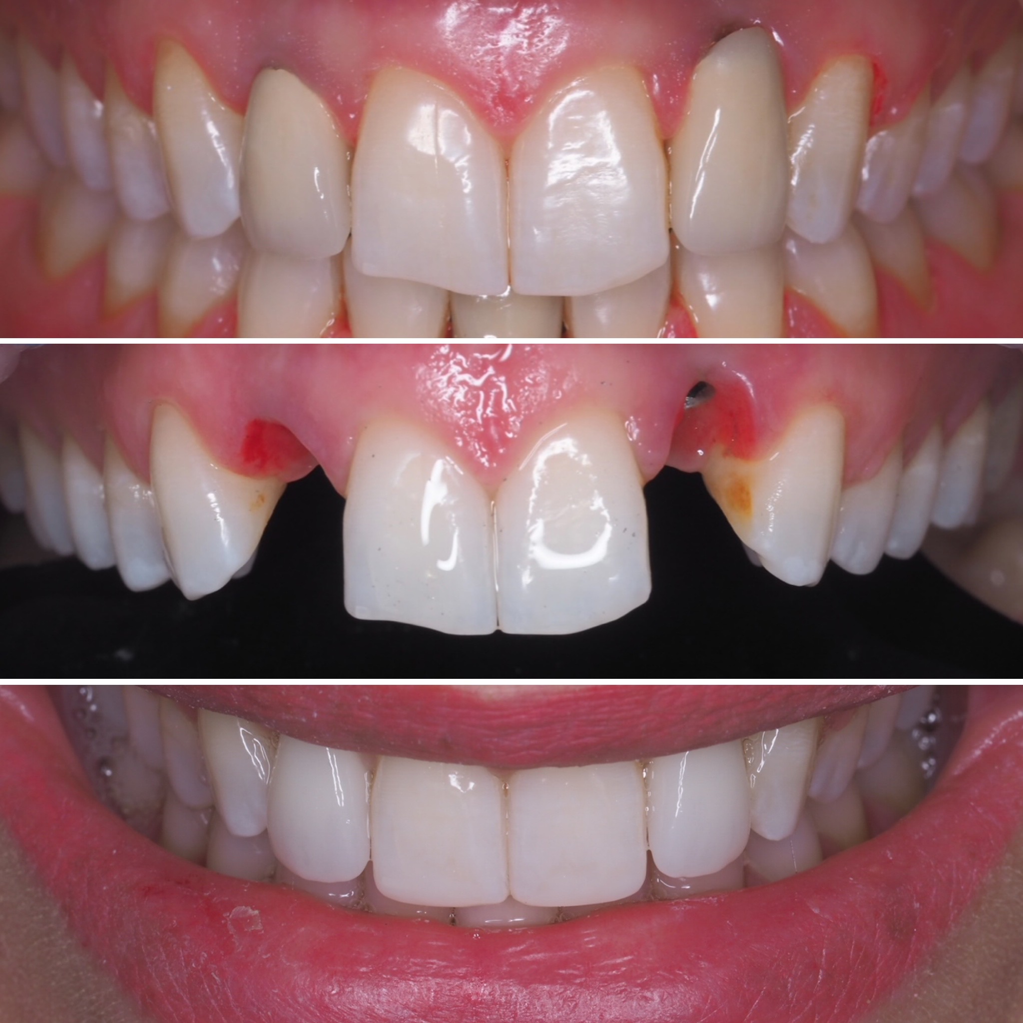
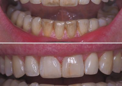
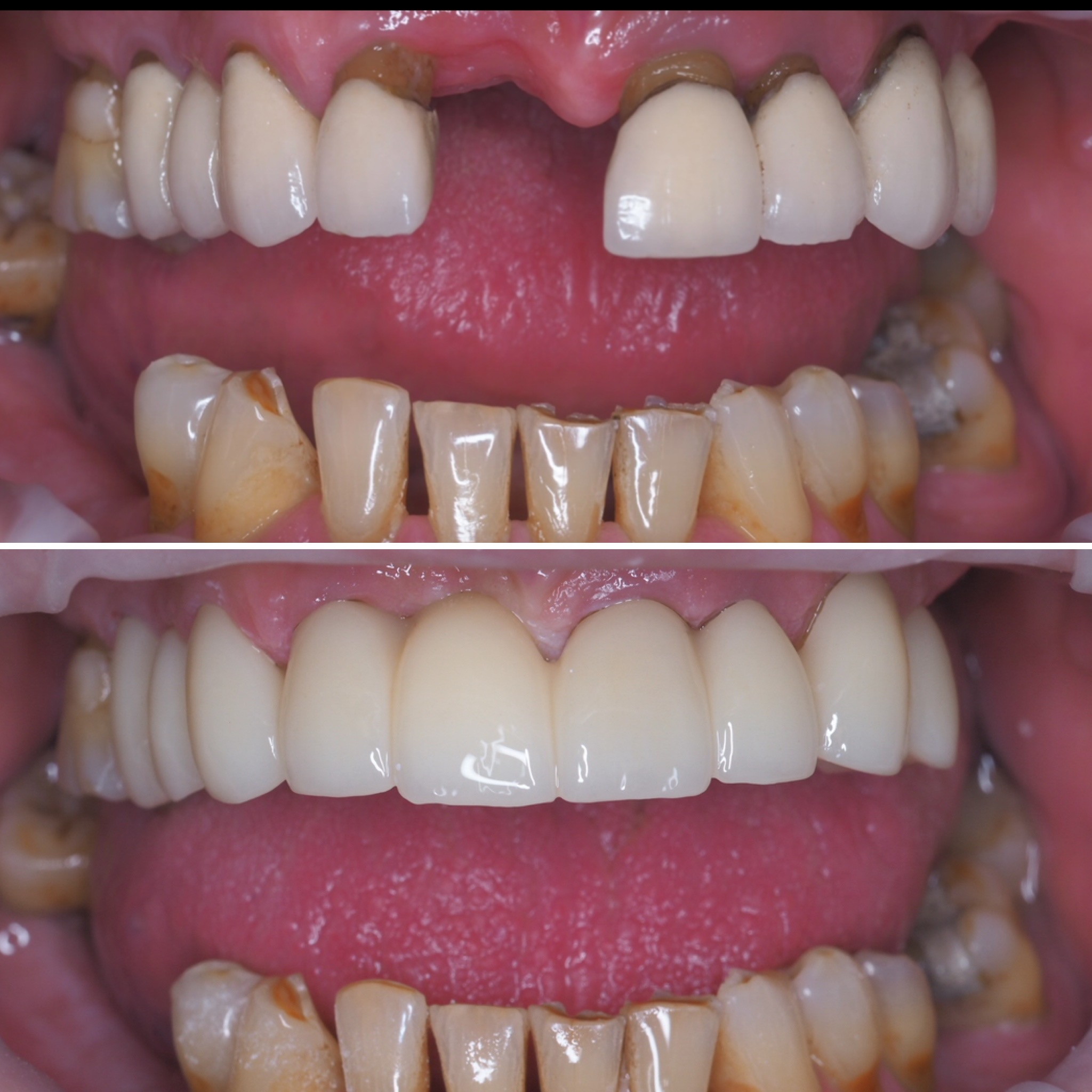
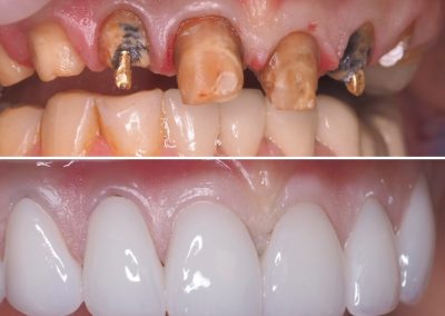
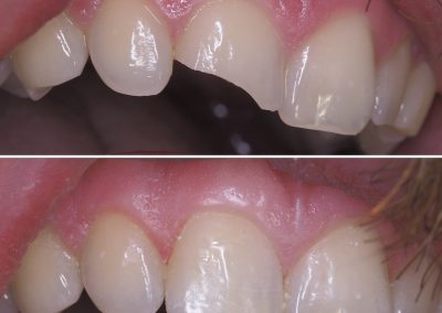
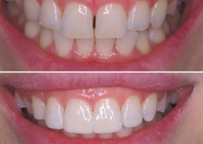
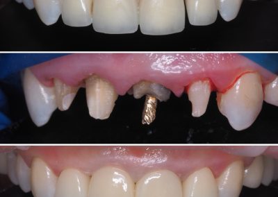
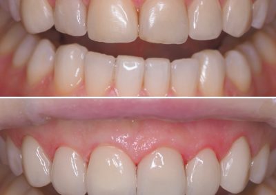
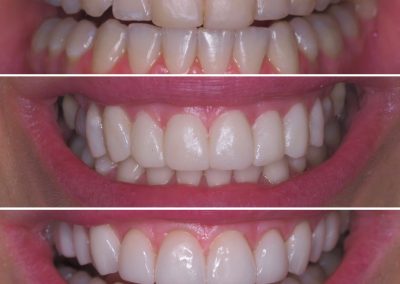
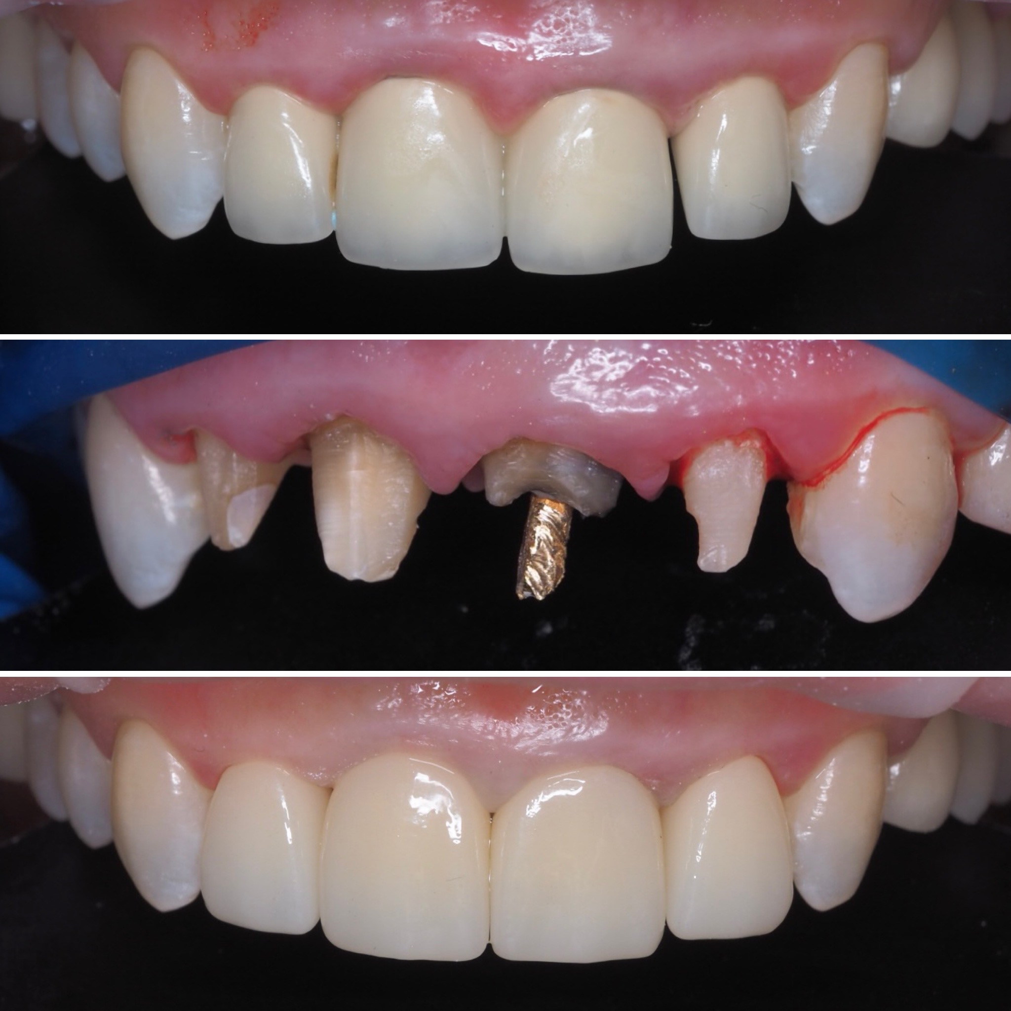
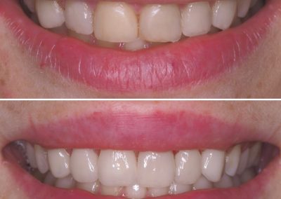
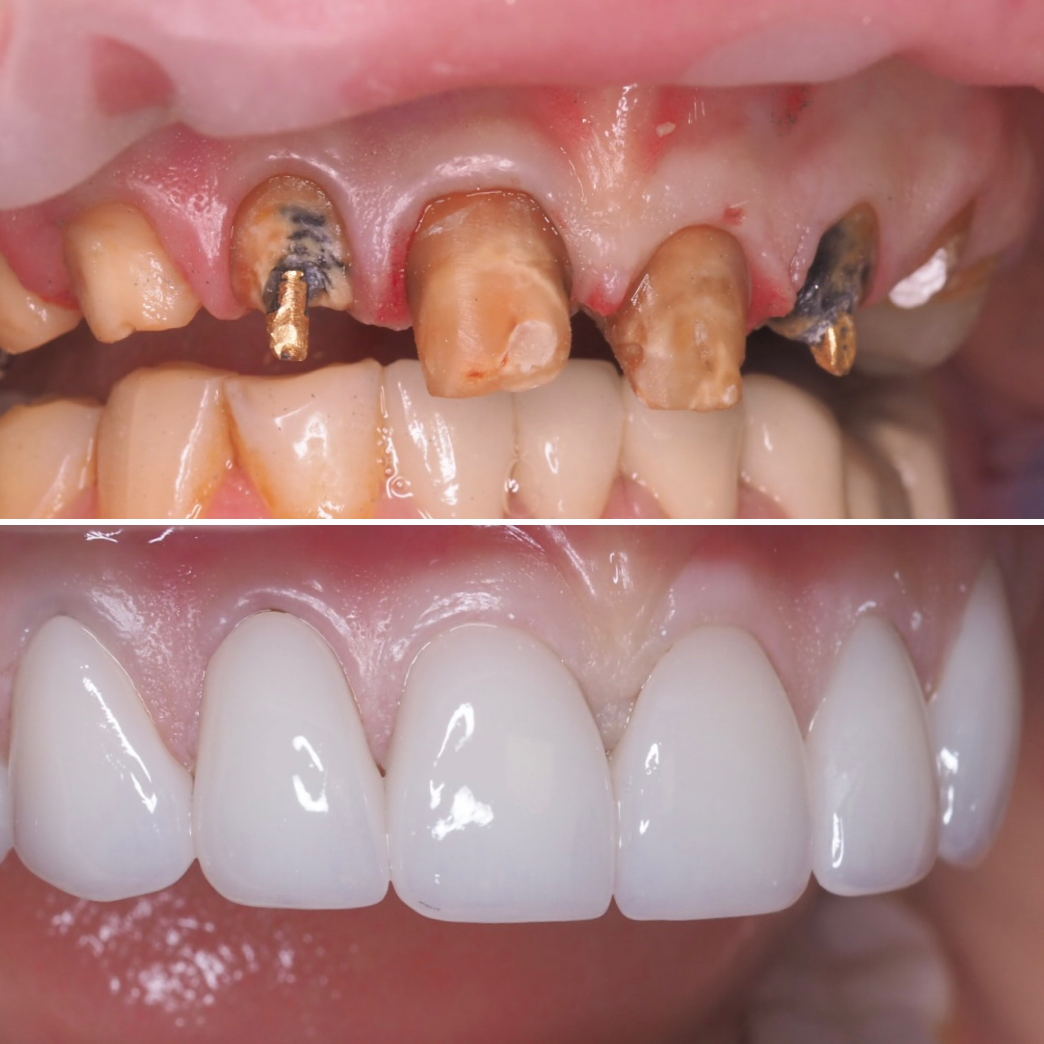
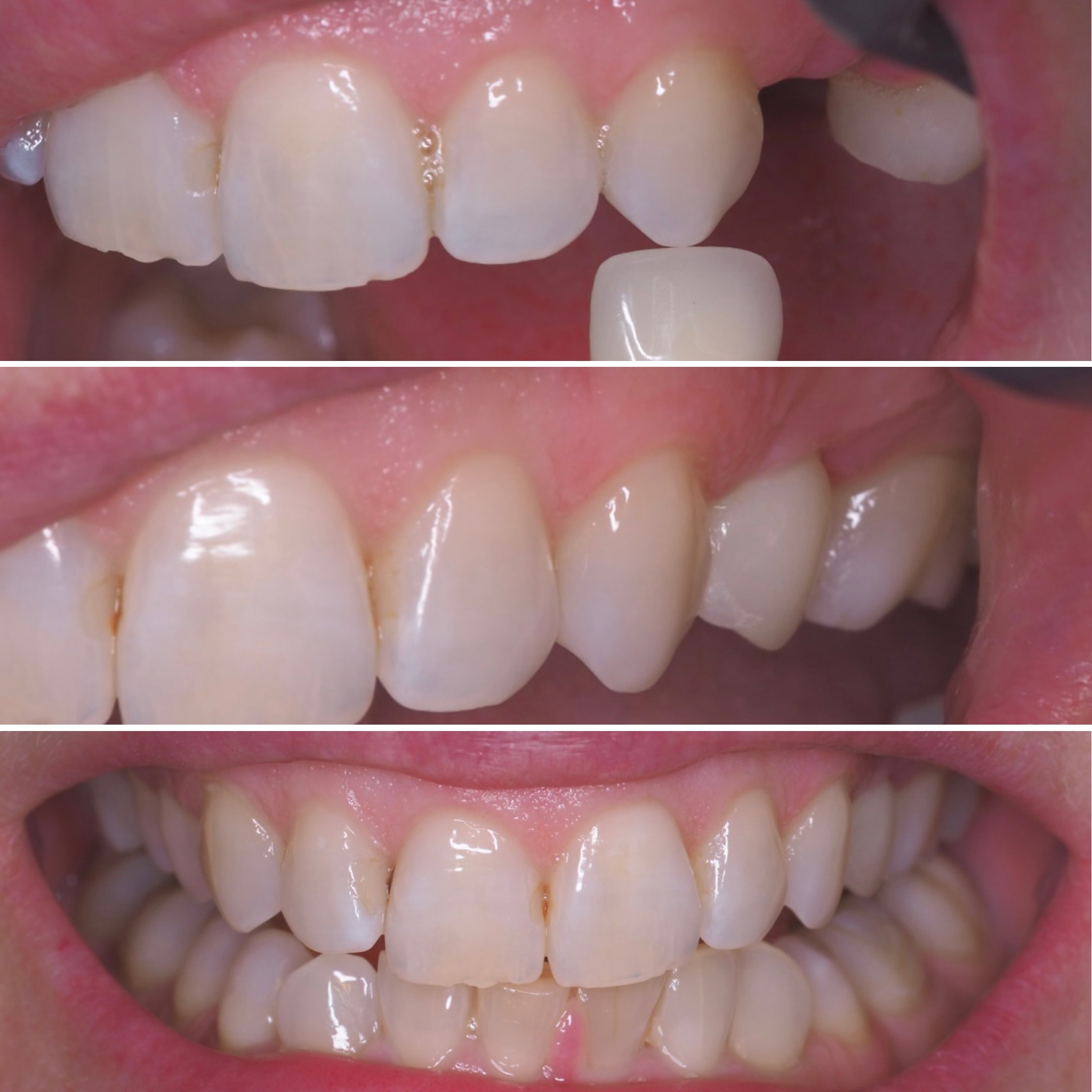
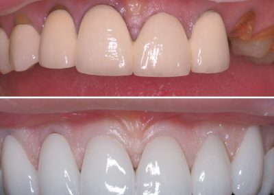
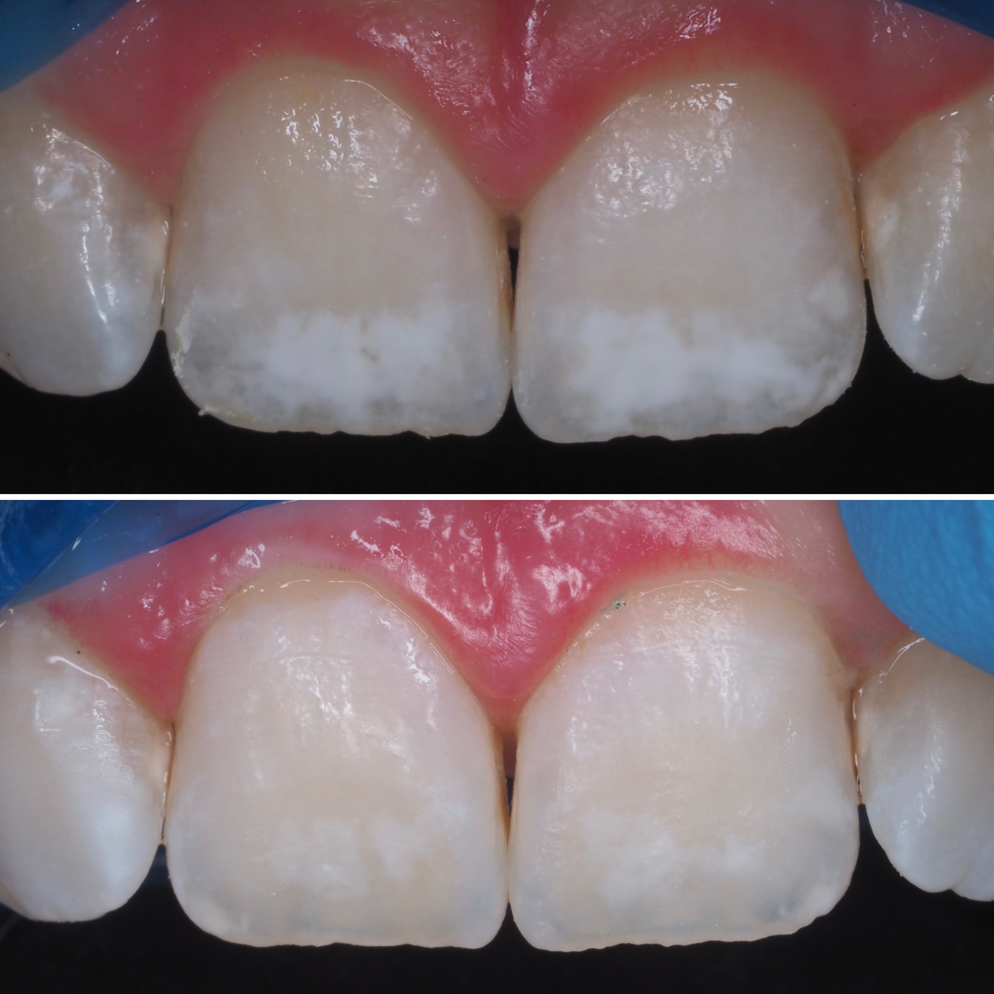
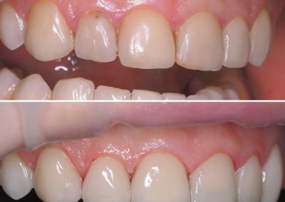
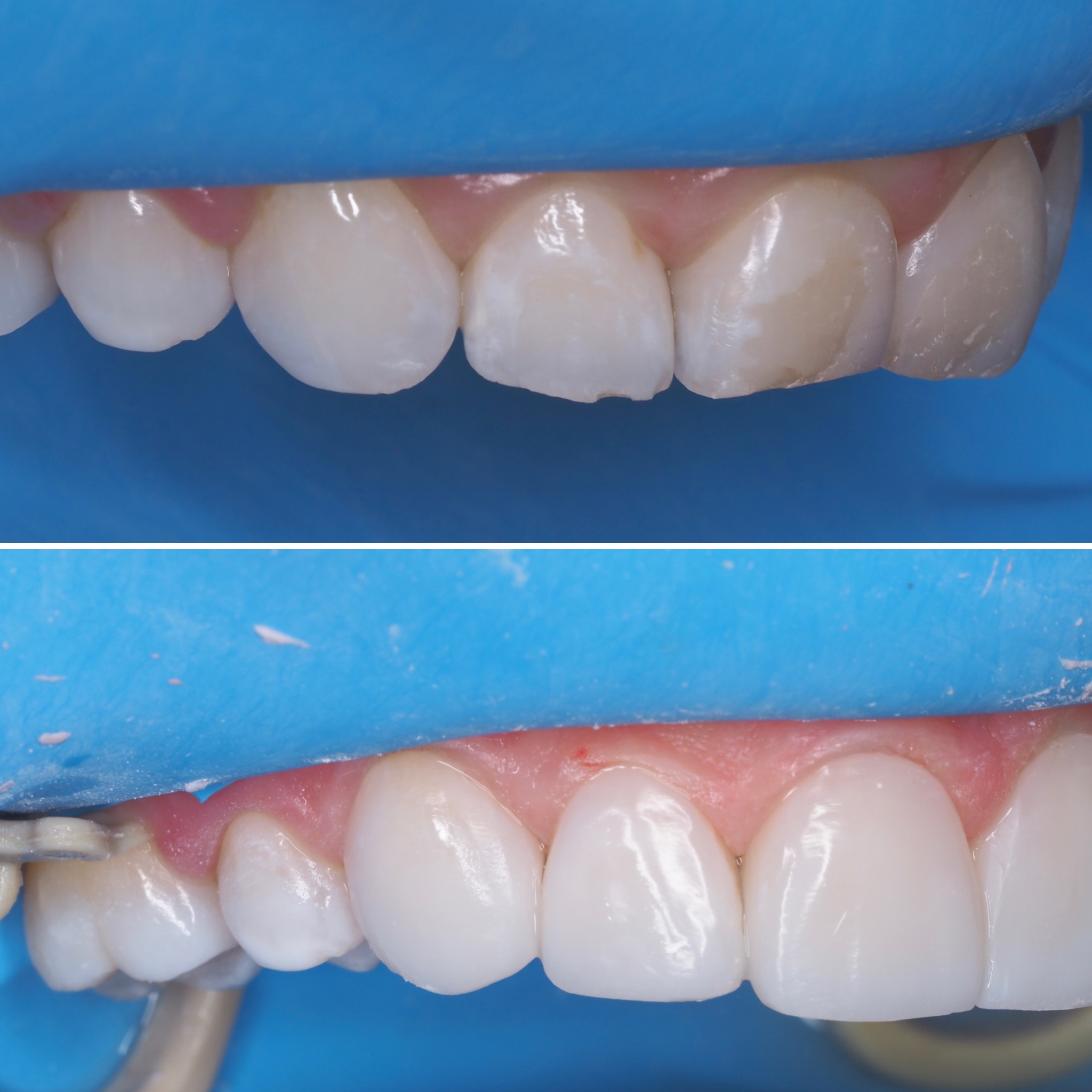
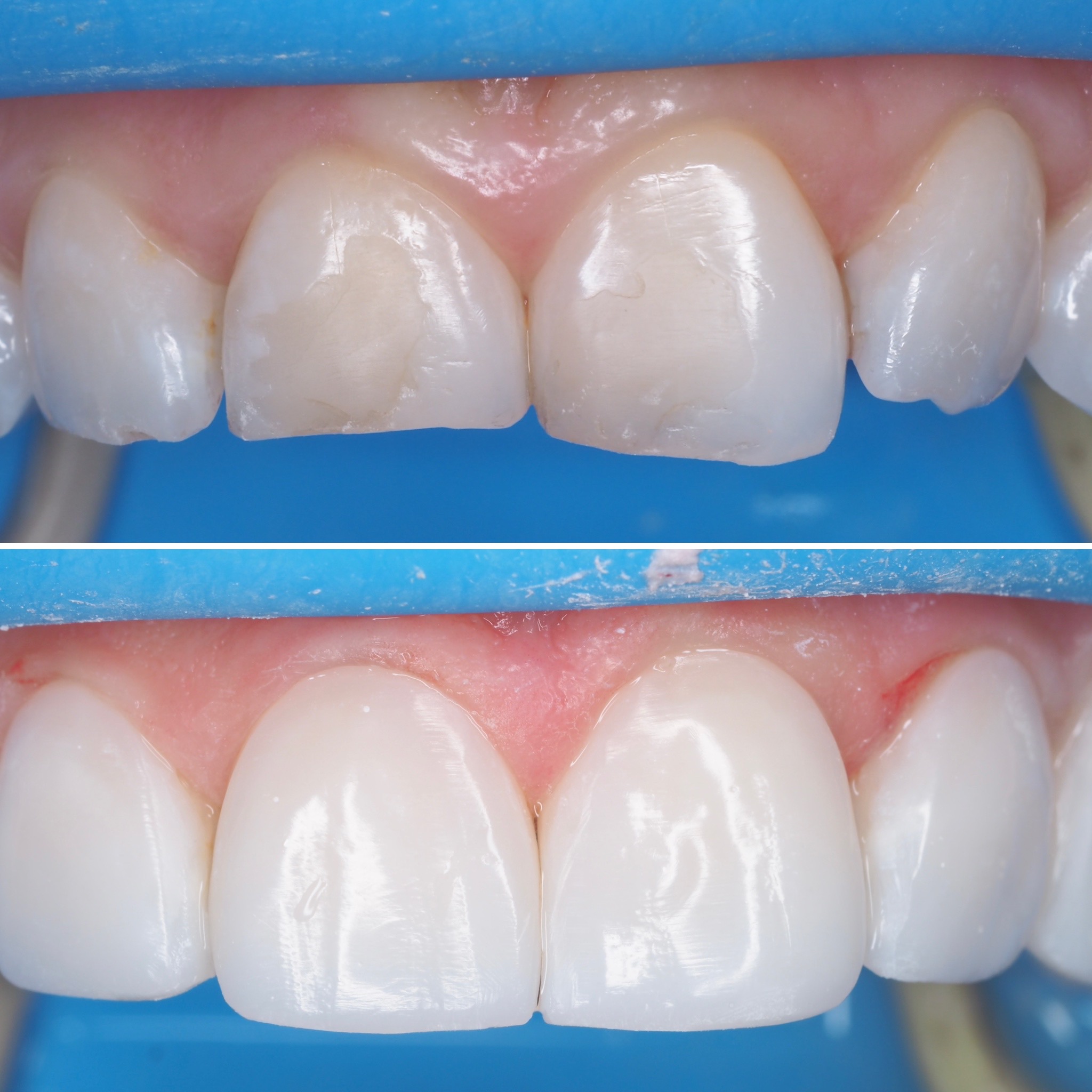
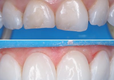
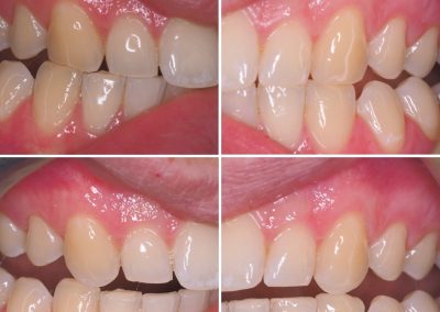
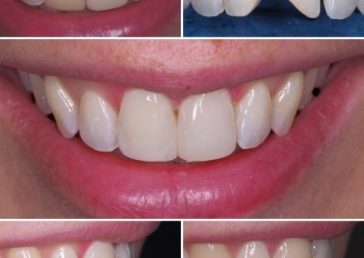
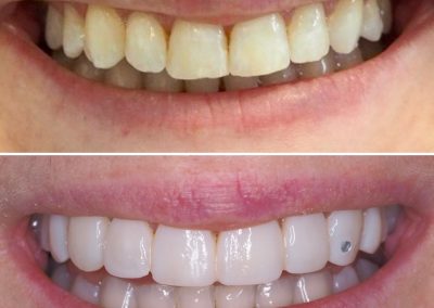
Efekty naszej pracy
Prezentujemy wybrane przypadki kliniczne pokazujące możliwości nowoczesnej stomatologii. Każdy plan leczenia jest indywidualnie dopasowany do potrzeb pacjenta, z zachowaniem najwyższych standardów estetyki i funkcjonalności.
Prezentowane efekty leczenia mają charakter poglądowy i nie stanowią gwarancji uzyskania identycznych rezultatów. Każdy przypadek wymaga indywidualnej diagnostyki i planu leczenia.
Co nas wyróżnia?
PRO smile to nie jest zwykły gabinet stomatologiczny
Indywidualne podejście.
Każdego pacjenta traktujemy indywidualnie, dopasowując plan leczenia do jego potrzeb zdrowotnych i oczekiwań estetycznych.
Nowoczesne technologie.
Korzystamy ze sprawdzonych, nowoczesny metod diagnostyki i leczenia zapewniających przewidywalne efekty. Posiadamy wszelki niezbędny sprzęt do wykonywania skomplikowanych procedur. Stworzyliśmy własną pracownię protetyczną dzięki czemu maksymalnie skróciliśmy czas wykonywania uzupełnień protetycznych oraz mamy pełną kontrolę nad ich wykonaniem.
Komfort i spokojna atmosfera
Dbamy o to, aby każda wizyta przebiegała w komfortowej i przyjaznej atmosferze. Zdajemy sobie sprawę, że gabinet stomatologiczny to nie SPA, a pacjent bywa zestresowany. Wyeliminowaliśmy nieprzyjemne zapachy, redukujemy dźwięki, włączamy spokojną muzykę, a jeśli pacjent nie śpi podczas wizyty to może pooglądać piękne krajobrazy na sufitowym telewizorze.
Doświadczenie i precyzja
Wieloletnia praktyka kliniczna oraz dbałość o detale pozwala nam oferować leczenie wysokiej jakości. Nieustannie dbamy o bycie na bieżąco z nowymi, sprawdzonymi metodami leczenia. Pracujemy sprawnie i dokładnie, ale bez pośpiechu. Każdemu pacjentowi poświęcamy odpowiednią ilość czasu.
Dobrze trafiłeś!
Niezależnie od tego czy posiadasz zęby czy masz ich braki powinieneś być pod stałą opieką stomatologiczną. Nieleczone problemy w jamie ustnej z czasem tylko się nawarstwiają i są trudniejsze do rozwiązania. W zależności od Twoich potrzeb doprowadzimy ten stan do porządku, a jeśli zależy Ci na wyjątkowej estetyce zaproponujemy odpowiednie rozwiązania np. bonding kompozytowy, injection flow, licówki ceramiczne, korony, a nawet „Tureckie zęby” 🙂
Szczególny nacisk kładziemy na profilaktykę! Dzięki naszym wspaniałym higienistkom stomatologicznym Twoje zęby mogą błyszczeć!
Nie ma takiej ilości złogów, osadu i kamienia nazębnego, który jest dobry dla zębów, to jak często trzeba go usuwać zależy od Ciebie!
Jak przygotować się do pierwszej wizyty?
Określ swoje potrzeby i oczekiwania.
Obejrzyj naszą stronę internetową, zapoznaj się z ofertą i efektami. Jesteśmy normalnymi ludźmi, cenimy sobie szczerość i partnerskie relacje współpracy. Możesz nam zaufać.
Jeśli trafiasz do nas z polecenia miło nam będzie jeśli o tym wspomnisz na wizycie 🙂
1. Konsultacja i diagnostyka
Poznamy się, analizujemy potrzeby pacjenta i przeprowadzimy niezbędną diagnostykę, wykonamy fotografie. Wsłuchujemy się w oczekiwania pacjenta.
2. Plan leczenia
Przedstawimy możliwe rozwiązania i wspólnie wybierzemy najlepszą opcję. Ustalamy etapy realizacji i szacunkowy kosztorys.
3. Leczenie i opieka
Realizujemy leczenie, dbając o komfort i trwałe efekty:
– zaczynamy od profesjonalnej higienizacji, indywidualnego instruktażu jak dbać o jamę ustną samodzielnie w domu.
– pierwszy etap leczenia to zażegnanie palących problemów – usuwamy stany zapalne, leczymy próchnicę, eliminujemy patogenne bakterie.
– po zakończeniu leczenia biologicznego przystępujemy do funkcjonalnej i estetycznej odbudowy zgryzu. Specjalizujemy się w wykonywaniu stałych uzupełnień (korony, mosty i implanty). Dysponujemy własnym laboratorium protetycznym dzięki czemu mamy pełną kontrolę nad procesem przygotowania uzupełnień, jednocześnie skracając czas i koszt ich produkcji.
4. Po zakończeniu właściwego leczenia nie można zapomnieć o okresowych kontrolach 1-2 w roku i profesjonalnych higienizacjach dla podtrzymania efektów naszej wspólnej pracy.
Dlaczego warto zostać naszym pacjentem?
Zdajemy sobie sprawę, że wybór odpowiedniego gabinetu stomatologicznego nie jest łatwy – szczególnie przy tak dużej liczbie dostępnych miejsc. Dlatego w PROsmile stawiamy na podejście, które pozwala naszym pacjentom czuć się pewnie i bezpiecznie już od pierwszej wizyty.
Zaufało nam już ponad 2000 pacjentów, a każdy z nich jest dla nas równie ważny. Możesz do nich dołączyć i skorzystać z leczenia na wysokim poziomie.
Dbamy również o naszych stałych pacjentów – w sytuacjach nagłych, takich jak ból czy awaria, oferujemy możliwość szybszego umówienia wizyty, aby jak najszybciej rozwiązać problem i przywrócić komfort.
Opinie o nas
Napisz do nas
